Smille Gallery
Chairside Composite
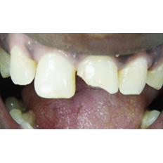
Veneers
Veneers
After

Before

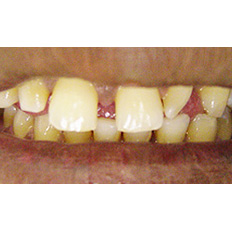
Internal
Bleaching
Bleaching
After

Before

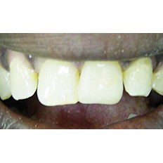
Composite Restoration
or Bonding
or Bonding
After

Before

Porcelain
Crowns
Crowns
After

Before

